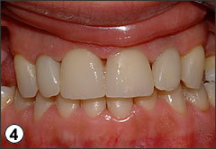
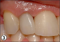
Faccette








Indietro
Vuoi conoscere in anteprima le novità che il Dr. Alberto Murtas propone sul suo sito? Scrivi il tuo indirizzo e-mail qui sotto e le riceverai direttamente nella tua casella di posta elettronica!
Indirizzo E-mail


 

Articolo su DENTAL DIALOGUE

Dott. A. Murtas et. al.

Clicca qui per vedere l'articolo.



HOME   CURRICULUM   STUDIO   CORSI   CASI CLINICI   CONTATTI
Copyright © 2016 Alberto Murtas. Tutti i diritti riservati.